Skip to main content
Search
Search This Blog
Perceived Distinctions
Share
Get link
Facebook
X
Pinterest
Email
Other Apps
June 18, 2024
2024_06_18 Pre-Appointment Image dump
Common locations of Taenia Solium larvae in the brain/ neurocysticercosis.
Illustration from
Osborn's Brain
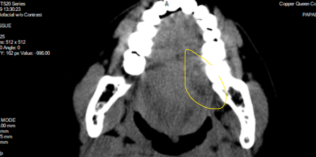
Trigeminal V3 (2?) asymmetry
Comments
Popular Posts
March 25, 2025
Link- CECT Neck, 01/13/2025
March 25, 2025
Maxillofacial Surgeon
Comments
Post a Comment